Оптический когерентный томограф Yalkaid TowardPi

TowardPi
Оптический когерентный томограф (ОКТ) Yalkaid (YG-100K) оснащен перестраиваемым лазерным источником света (технология Swept Source OCT) со скоростью сканирования 100 000 сканов в секунду, что дает возможность проводить уникальные исследования стекловидного тела, сетчатки и сосудов с глубиной сканирования 6 мм и 14 мм для переднего отрезка глаза. Оптическое разрешение устройства в 3,8 микрон обеспечивает детальную визуализацию переднего и заднего отрезка глаза.

ОКТ Yalkaid использует для сканирования невидимый глазом свет с длиной волны 1060 нм. Свет с такими параметрами лучше проникает сквозь проводящие среды глазного яблока, что позволяет выполнять исследование у пациентов с катарактой и помутнением стекловидного тела. Невидимый глазом свет не отвлекает пациентов, поэтому создаются лучшие условия для получения детализированных снимков даже у детей и пожилых людей.

Yalkaid оснащен максимальным набором инструментов для количественной оценки и анализа полученных изображений, которые значительно помогают в клинической практике и научных исследованиях. Кроме того, аналитические инструменты, повышают точность диагностики и способствуют улучшению результатов лечения пациентов.
Описание
Характеристики

Описание

Оптический когерентный томограф (ОКТ) Yalkaid (YG-100K) оснащен перестраиваемым лазерным источником света (технология Swept Source OCT) со скоростью сканирования 100 000 сканов в секунду.

Визуализация высокого разрешения на ОКТ с перестраиваемым лазерным источником света


Глубокое сканирование с высоким разрешением

Широкое поле обзора и большая глубина сканирования | Отслойка сетчатки

Визуализация с высокой детализацией сетчатки и хориоидеи | Центральная серозная хориоретинопатия

Помутнение стекловидного тела, витреодисковая тракция, эпиретинальная гиперрефлексия в макулярной области и интраретинальный отек | Пролиферативная диабетическая ретинопатия

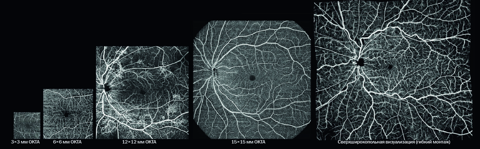
Сверхширокопольная ОКТ-ангиография с перестраиваемым лазерным источником света


Быстрый, неинвазивный и эффективный метод

Инновационная ОКТ-ангиография хориоидеи с возможностью количественного анализа


Алгоритм, меняющий представление о хориоидее

Количественный анализ всех слоев заднего отрезка глаза


Встроенный алгоритм сегментации на основе ИИ: более точный, более надежный.

Предлагает автоматизированное количественное определение толщины и объема сетчатки с детализацией по кольцам ETDRS.
Обеспечивает прецизионное измерение площади потока и количественную оценку плотности, а также автоматизированный анализ FAZ.
Поддерживает комплексную, как автоматическую, так и ручную, количественную оценку хориоидеи на уровне слоев.



Анализ и оценка панорамного изображения переднего отрезка


Полная визуализация роговицы, передней камеры, хрусталика и других структур глаза с высоким разрешением.

Обеспечивает детальный анализ морфологии роговицы, точную диагностику кератоконуса, прецизионное измерение толщины роговицы и эпителия.
Позволяет проводить автоматические и ручные измерения: глубины и объема передней камеры, толщины хрусталика, прогиба хрусталика, положения интраокулярной линзы (ИОЛ), ширины угла передней камеры, расстояния между склеральными шпорами.
3D реконструкция и автоматическое измерение угла передней камеры.


Комплексный анализ глаукомы

Точное количественное отслеживание развития глаукомы и ранняя диагностика с использованием интеллектуальной системы iHealth.

Комплексный анализ, включающий оценку структурных изменений и параметров кровотока.

Обеспечивается анализ макулы при глаукоме (GMA) и головки зрительного нерва (ONH) для сканов размером более 15×9 мм.

Автоматическое определение экскавации и диска зрительного нерва, расчет соотношения экскавации к диску (площадь, вертикальный и горизонтальный размеры), объема экскавации и других параметров.

Анализ слоя нервных волокон сетчатки (RNFL), комплекса ганглиозных клеток, количественная оценка кровоснабжения головки зрительного нерва (ONH) и другие методы.


Купить оптический когерентный томограф Yalkaid TowardPi перестраиваемым лазерным источником света (технология Swept Source OCT) вы можете у официального сервисного партнера компании ООО "АЕ Адамиди".

Характеристики

Источник света: перестраиваемый лазерный (технология Swept Source OCT)

Длина волны: 1060 нм

Скорость сканирования: 100 000 A-сканов/сек

Осевое оптическое разрешение: 3,8 мкм

Поперечное оптическое разрешение: 10 мкм

Дополненное цифровое изображение: условное разрешение 1,4 мкм

Длина скана на заднем отрезке: 24 мм

Длина скана на переднем отрезке: 16 мм

Диоптрийность: от -20D ~ +15D

Размер зрачка: ≥ 2.0 мм

Смотреть все